Comité de Educación
Me indicaron una cinecoronariografía, ¿qué necesito saber?
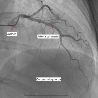
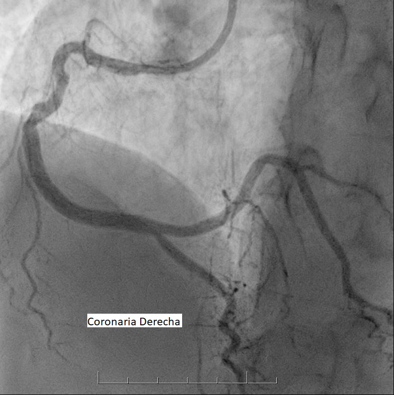
¿QUÉ ES LA CINECORONARIOGRAFÍA?
- Es un estudio que permite visualizar de manera directa las arterias coronarias y verificar si existen obstrucciones que impidan la correcta circulación de la sangre.
- Brinda a los médicos datos exactos sobre el estado de las arterias coronarias y sobre la existencia o no de enfermedad coronaria. Esto permite determinar el tratamiento apropiado, y muchas veces definitivo, para los pacientes.
1.- INDICACIONES PREVIAS AL ESTUDIO
Previo a la realización del estudio, tendrás una entrevista con un médico del Servicio de Hemodinamia y Cardiología Intervencionista. Allí te explicarán los detalles del procedimiento y podrás realizar las consultas que creas necesarias.
Por favor, te solicitamos que en la entrevista le hagas saber al médico/a si te encontrás en alguna de las siguientes situaciones:
• Estás embarazada.
• Sos alérgico/a al iodo o a alguna medicación.
• Estás cursando algún proceso infeccioso (gripe, resfrío, etc.).
• Si tuviste fiebre durante las últimas 24 horas.
INDICACIONES
Todas estas medidas deben tomarse con el seguimiento de tu médico/a tratante:
• No deben suspenderse la Aspirina, Clopidogrel ni el anticoagulante sin indicación médica.
• Realizar un ayuno de 8 horas (de alimentos sólidos) SOLO en caso de realizarte el estudio con soporte de Anestesia.
• Beber abundante líquido las 24 horas anteriores al estudio.
• Realizar la preparación antialérgica, si esto fue indicado por tu médico/a alergista.
• Debés contar con un análisis de sangre actualizado, que no exceda los 90 días. En caso de que el/la médico/a considere necesario, te repetirá el laboratorio antes del procedimiento.
• Tomar un baño con jabón de iodipovidona o clorhexidina antes de concurrir a realizarte el estudio, se consiguen en cualquier farmacia. No debés rasurarte ni depilarte.
Otros aspectos a tener en cuenta:
• No podrás manejar vehículos al finalizar el estudio.
• Debés concurrir acompañado/a.
• Recordá traer: pantuflas, camisón o pijama y elementos de higiene personal.
• Evitá traer elementos de valor como cadenas, pulseras, relojes, etc.
• Tanto las prótesis, los anteojos, los lentes de contacto o cualquier otro objeto que traigas deberás entregárselo a tu acompañante antes de ingresar a la sala. Podés conservar los audífonos y prótesis dentarias.
• Es importante que las uñas no estén esmaltadas.
Tené en cuenta que el horario de realización del estudio o procedimiento puede variar de acuerdo a prioridades médicas o situaciones de emergencia.
2.- LA REALIZACIÓN DEL ESTUDIO
La sala donde te realizarán el estudio se encuentra a baja temperatura. Este procedimiento se efectúa con anestesia local y comienza con la introducción de un catéter por punción en una de las arterias de la muñeca o la ingle, de acuerdo a las características de cada persona.
Este catéter llega hasta las arterias coronarias y una vez allí se inyecta una sustancia de contraste, que permite visualizarlas y verificar si hay obstrucciones.
Mientras se inyecta la sustancia de contraste sentirás calor, esto es normal. Asimismo, en determinados momentos el/la médico/a te solicitará que inspires profundamente, retengas el aire y no te muevas. Es muy importante que permanezcas lo más quieto/a posible durante el procedimiento.
La cinecoronariografía dura, aproximadamente, una hora. En la mayoría de los casos, los pacientes son dados de alta el mismo día luego de un reposo de una hora y media si se efectuó por vía radial (la muñeca) o de tres horas si se utilizó la vía femoral (la ingle).
Es posible que luego de este estudio los médicos determinen apropiado realizar una angioplastía para tratar las obstrucciones. Te comunicarán la situación a vos y a tu familia. En este caso, deberás tener en cuenta que la angioplastía puede requerir una internación de 24 horas en la Unidad de Cuidados Intensivos Cardiológicos. Para más información sobre este tratamiento, te recomendamos que leas el contenido Angioplastia Coronaria (desde acá).
3.- LUEGO DE LA CINECORONARIOGRAFÍA
DURANTE TU ESTADÍA EN EL HOSPITAL
• Deberás permanecer acostado/a boca arriba sin flexionar la pierna o el brazo donde se realizó la punción.
• Llamá a enfermería si necesitás orinar o evacuar el intestino.
• Es importante que bebas, por lo menos, dos litros de agua las primeras 24 horas para eliminar la sustancia de contraste.
EL TRASLADO HACIA TU DOMICILIO
• Te aconsejamos que durante el traslado mantengas estirada la pierna afectada por la punción.
• Caminá con cuidado y sin hacer fuerza hasta llegar al lugar donde continuará tu reposo.
EN TU CASA, DURANTE LAS PRIMERAS 24 HORAS
• Deberás mantener el vendaje compresivo que te pusieron al finalizar el estudio.
• Tendrás que realizar reposo y levantarte, únicamente, para ir al baño en caso de haberse utilizado acceso femoral.
• Es importante que bebas abundante líquido.
A PARTIR DE LAS 24 HORAS DE REALIZADO EL ESTUDIO
• Tomá un baño con abundante agua y jabón y retirá muy suavemente el vendaje compresivo.
• Caminá normalmente sin realizar esfuerzos bruscos (no realizar deportes ni cargar objetos pesados).
• Podrá manejar vehículos a partir de las 72 horas de realizado el procedimiento.
• Si realizás ejercicios físicos habitualmente, podrás retomarlos a partir de los 7 días.
• No debés suspender ninguna medicación sin indicación médica.
• Podés volver a trabajar cuando el/la médico/a te lo indique.
Pueden aparecer algunos síntomas como dolor en el sitio de punción o hematomas.
PAUTAS DE ALARMA
Te pedimos por favor que te contactes con el Servicio de Hemodinamia y Cardiología Intervencionista si:
• Sentís frío o adormecimiento en el brazo, la ingle o la pierna, según la vía de acceso utilizada.
• Tenés un hematoma o moretón que aumenta de tamaño, aumenta de temperatura o comienza a doler.
• Sentís dolor en el pecho, en ese caso concurrir lo antes posible a la Guardia del Hospital.
La hipertensión arterial, la diabetes, el colesterol elevado, el tabaquismo, el sedentarismo, la obesidad y los antecedentes familiares, son factores de riesgo que favorecen la obstrucción de las arterias coronarias.
-
Material elaborado por el Comité de Educación del Hospital Italiano en base a las recomendaciones provistas por los profesionales del Servicio de Hemodinamia y Cardiología Intervencionista. Recordá que esta información es de índole general y no reemplaza los consejos individualizados de tus profesionales de confianza.