hemodinamia
Comité de Educación

Me indicaron una angioplastía coronaria, ¿qué necesito saber?

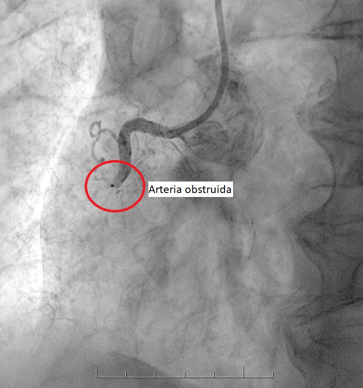
¿QUÉ ES LA ANGIOPLASTÍA?

  • Es un procedimiento que permite eliminar las obstrucciones de las arterias, abriendo el paso a la circulación de la sangre y dejando lugar para la colocación de un stent.
  • La enfermedad coronaria se produce por la obstrucción de las arterias que llevan sangre al corazón. Para tratarla, existen tres métodos básicos: medicamentos, angioplastía o cirugía cardiovascular (by-pass).
  • La angioplastía es un procedimiento terapéutico y no la cura absoluta de la enfermedad. Para que tenga éxito, es fundamental que el paciente adquiera hábitos de vida saludables que le permitan reducir los factores de riesgo.

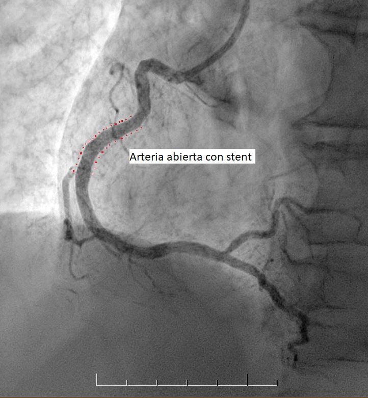
¿QUÉ ES UN STENT?

  • Es un pequeño tubo de malla metálica que, una vez ubicado en la arteria, se expande y queda adherido a sus paredes, reforzando el procedimiento de desobstrucción. Se utiliza, en la mayoría de los casos, como complemento de la angioplastía y da muy buenos resultados.
angio1

 

angio3
angio2


1.- INDICACIONES PREVIAS AL PROCEDIMIENTO
Previo a la realización de la angioplastía, tendrás una entrevista con un/a médico/a del Servicio de Hemodinamia y Cardiología Intervencionista. Allí te explicarán los detalles del procedimiento y podrás realizar las consultas que creas necesarias.

Por favor, te solicitamos que en la entrevista le haga saber al médico/a si te encontrás en alguna de las siguientes situaciones:
• Estás embarazada.
• Sos alérgico/a al yodo o a alguna medicación.
• Estás cursando algún proceso infeccioso (gripe, resfrío, etc.).
• Tuviste fiebre durante las últimas 24hs.

INDICACIONES

Todas estas medidas deben tomarse con el seguimiento de tu médico/a tratante:

• No deben suspenderse la Aspirina, Clopidogrel ni el anticoagulante sin indicación médica.
• Realizar un ayuno de 8 horas (de alimentos sólidos) SOLO en caso de realizarte el estudio con soporte de Anestesia.
• Beber abundante líquido las 24 horas anteriores al estudio.
• Realizar la preparación antialérgica, si esto fue indicado por tu médico/a alergista.
• Debés contar con un análisis de sangre actualizado, que no exceda los 90 días. En caso de que el/la médico/a considere necesario, te repetirá el laboratorio antes del procedimiento.
• Tomar un baño con jabón de iodipovidona o clorhexidina antes de concurrir a realizarte el estudio, se consiguen en cualquier farmacia. No debés rasurarte ni depilarte.

 

Otros aspectos a tener en cuenta

• Al finalizar el procedimiento se definirá si quedás internado/a en la Unidad de Cuidados Intensivos Cardiológicos durante 24 horas o si sos candidato al Alta Temprana, según indicación médica.
• Al alta no podrás manejar vehículos. Es importante que vengas acompañado/a.
• Recordá traer: pantuflas, camisón o pijama y elementos de higiene personal.
• Evitá traer elementos de valor como cadenas, pulseras, relojes, etc.
• Tanto las prótesis, los anteojos, los lentes de contacto o cualquier otro objeto que traigas deberás entregárselo a tu acompañante antes de ingresar a la sala.
• Es importante que las uñas no estén esmaltadas.

Tené en cuenta que el horario de realización del procedimiento puede variar de acuerdo a prioridades médicas o situaciones de emergencia. 


2.- LA REALIZACIÓN DEL PROCEDIMIENTO
La sala donde te realizarán la angioplastía se encuentra a baja temperatura. Este procedimiento se efectúa con anestesia local y comienza con la introducción de un catéter por punción en una de las arterias del brazo, la muñeca o la ingle, de acuerdo a las características de cada persona.

Este catéter llega hasta las arterias que se van a tratar y una vez allí se inyecta una sustancia de contraste, que permite visualizar las obstrucciones existentes. A través de este catéter se inserta un balón, que se expande en el sitio obstruido y luego se retira, dejando lugar para la colocación de un stent.

Mientras se inyecta la sustancia de contraste, sentirás calor, esto es normal. Asimismo, en determinados momentos el/la médico/a te solicitará que inspires profundamente, retengas el aire y que no te muevas. Es muy importante que permanezcas lo más quieto/a posible durante el procedimiento.



3.- LUEGO DE LA ANGIOPLASTÍA CORONARIA

INDICACIONES POST PROCEDIMIENTO 

• Si se llevó a cabo la punción por vía femoral: deberás permanecer acostado boca arriba sin flexionar la pierna donde se realizó la punción.
• Si se realizó la punción por vía radial o humeral: deberás mantener el brazo afectado inmovilizado y ligeramente flexionado, apoyado en la cama o en el apoyabrazo del sillón de recuperación.
• Llamá a enfermería si necesitás orinar o evacuar el intestino.
• Es importante que bebas abundante líquido, cuando el/la médico/a te indique que ya podés hacerlo.

EL TRASLADO HACIA TU DOMICILIO
• Te aconsejamos que durante el traslado mantengas estirada la pierna afectada por la punción.
• Caminá con cuidado y sin hacer fuerza hasta llegar al lugar donde continuará tu reposo.

UNA VEZ EN TU CASA
• Es importante que bebas abundante líquido.
• Controlá la cantidad de orina durante las primeras 24 horas.
• Tomá un baño con abundante agua y jabón y retirá muy suavemente el vendaje.
• Caminá normalmente sin realizar esfuerzos bruscos (no realizar deportes ni cargar objetos pesados).
• Podrás manejar vehículos a partir de las 72 horas de realizado el procedimiento.
• No debés suspender ninguna medicación sin indicación médica.
• Podés volver a trabajar cuando el/la médico/a te lo indique.
• A partir de los 10 días podrás retomar tus actividades normalmente.
• Pueden aparecer algunos síntomas como dolor en el sitio de punción o hematomas.

PAUTAS DE ALARMA
Te pedimos por favor que te contactes con el Servicio de Hemodinamia y Cardiología Intervencionista si:
• Comienza a sangrar el sitio de punción.
• Sentís frío o adormecimiento en el brazo, la ingle o la pierna, según la vía de acceso utilizada.
• Tenés un hematoma o moretón que aumenta de tamaño, aumenta de temperatura o comienza a doler.

Deberás solicitar un turno con el/la médico/a que te realizó la angioplastía, quien te verá a los 7 días de realizado el procedimiento para un primer control y fijar pautas de seguimiento. Solicitalo en la Secretaría de Hemodinamia (Piso 1, Perón 4190). 


4.- HÁBITOS COTIDIANOS SALUDABLES
Podés retomar tus actividades cotidianas pocos días después del procedimiento. La vida sexual se reanuda paulatinamente.

Actividad física: para prevenir el desarrollo de la aterosclerosis y evitar nuevos episodios relacionados con la enfermedad vascular, te aconsejamos que inicies actividad física adecuada, gradual y supervisada.

Dejar de fumar: es fundamental que lo hagas de forma definitiva, ya que uno de los efectos más nocivos del tabaco es el espasmo arterial y la consiguiente acumulación de placas de ateromas en las arterias, que producen obstrucciones. Existen abordajes multidisciplinarios que ayudan a cumplir esta meta (para más información del programa que realiza el Hospital, ingresá acá).

Peso y presión sanguínea: el riesgo de acumulación de placas ateroscleróticas en las arterias disminuye sustancialmente si la presión sanguínea y el peso se mantienen dentro de los límites normales, se controla el estrés y se sigue una dieta baja en grasas.

Diabetes: quienes tienen esta enfermedad deben ajustarse a un control médico estricto y permanente.

¿QUÉ ES LA REESTENOSIS?
Es la reobstrucción de la arteria dilatada, hecho que afortunadamente ocurre solo en un reducido grupo de pacientes. Si durante el transcurso del primer año luego de la angioplastía, la arteria tratada permanece abierta (sin obstrucciones), la evolución a largo plazo es muy buena y las posibilidades de que esta arteria vuelva a obstruirse son mínimas.


-
Material elaborado por el Comité de Educación del Hospital Italiano en base a las recomendaciones provistas por los profesionales del Servicio de Hemodinamia y Cardiología Intervencionista. Recordá que esta información es de índole general y no reemplaza los consejos individualizados de tus profesionales de confianza.